Applications
In EU, Ribbond is approved to be placed on or within enamel.
Endodontic Post & Core
Recommended by many well-known lecturers, the Ribbond endodontic post and core technique minimizes the chance for root fracture and has the following advantages:
- Mitigates the harmful effects of c-factor.
- Compared to preformed posts, there is minimal additional tooth removal after endodontic treatment. This maintains the natural strength of the tooth. Minimizes the possibility for root perforation.
- Because it is made when the Ribbond is in a pliable state, it conforms to the natural contours and undercuts of the canal and provides additional mechanical retention.
- There are minimal stress concentrations at the tooth-post interface.
- The Ribbond post and core is passive and highly retentive.
- Because Ribbond's translucent fibers take on the color characteristics of the composite it allows for the natural transmission of light through teeth and crowns. This provides an exceptionally esthetic result.
Technique
Other than the normal endodontic treatment, further shaping is not required to accommodate the size and shape of a preformed post. The following is a brief description of the procedure. The Ribbond instruction manual, included with a purchase, clearly describes this technique in full detail.
- Prepare the canal for dentin bonding.
- Inject a moderately filled composite in the canal. Use a dual-cured composite if the canal is too deep for a light cured composite.
- Wet the Ribbond with an unfilled resin that does not include a dentin primer or acid etchant. Use a dual-cured unfilled resin to wet the Ribbond if the canal is too deep for a light cured resin.
- Apply a thin layer of the moderately filled composite to the wetted Ribbond on a mixing pad.
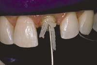
- Use a perio-probe/endodontic plugger type instrument and place the middle part of the Ribbond into the apical end of the canal and adapt the Ribbond closely against the canal walls. Have the two ends of the Ribbond protrude out of the coronal opening against the canal walls as they emerge out of the coronal opening.
- If space permits for another piece of Ribbond, inject more dual-cured moderately filled composite into the canal and place a second piece of Ribbond perpendicular to the first piece of Ribbond.
- Spread the emerging Ribbond pieces out so they will be towards the outer circumference of the core.
- Light cure.
- Place filled light-cured composite between emerging Ribbond ends and cure.
- Build up core with light-cured filled composite.
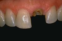
Before
Ribbond on instrument
Placing Ribbond
Placing Ribbond
Placing second piece of Ribbond
Ribbond pieces emerging
from coronal opening
Finished core build up
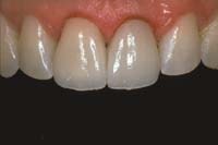
Finished with crown