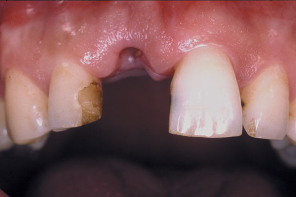
Single-Visit Bridge
Ribbond single-visit bridges provide strength, durability, and immediate convenience. Ribbond bridges are cost effective and reliable. Excellent for emergencies, implant temporization, congenitally missing laterals and patients who cannot afford conventional lab fabricated bridgework. Use natural tooth, denture tooth, or composite build-up.
Watch the Video
Technique
If clearance permits, a bridge can be made without preparation of the abutments. If there is not adequate space, shallow preparations might be necessary. The following shows the construction of a long-term bridge framework. For provisional bridges one layer of Ribbond can be used.
Making Ribbond Framework
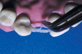
Step 1
Prepare teeth for bonding and place a thin layer of composite on the teeth.
Step 2
Wet the Ribbond with bonding resin and place it spanning from one abutment to the other. Place the Ribbond so that it will be under the incisal edge of the pontic. Remove excess composite and cure.
Step 3
Place a thin layer of composite lingual to the first piece of Ribbond in the pontic section of the Ribbond framework.
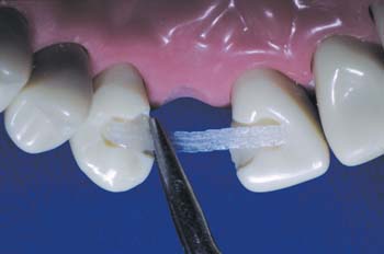
Step 4
Wet a second piece of Ribbond and place it against the composite in the pontic section of the framework. Cure.
Step 5
0.5 to 0.75mm composite layer in the middle
The second Ribbond layer attaches over the first composite layer only to the proximal lingual angles of the teeth adjacent to the pontic.
Step 6
Cover Ribbond on abutments with composite. Cure.
Building Pontic

Natural Tooth
- Cut off the root of the extracted tooth and fill pulp chamber with composite.
- Ribbond framework.
- Prepare an undercut lingual groove on the extracted tooth.
- Bond natural tooth pontic to Ribbond framework with composite.
Denture Tooth
- Choose and shape denture tooth to fit in the edentulous area.
- Build Ribbond framework.
- Prepare an undercut lingual groove in denture tooth to fit the Ribbond framework.
- Use a small round burr to drill small holes in the pontic for extra mechanical retention. Sandblast groove for better mechanical retention.
- Bond denture tooth to pontic with composite.
Composite Buildup
- Build Ribbond framework.
- Build composite pontic onto Ribbond framework using standard composite technique.
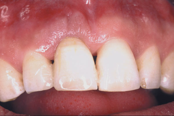
Finished Bridge